Constituição:
Pâncreas
- Tubo digestivo:
> Cavidade oral;
> Esôfago;
> Estômago;
> Intestino;
> Reto;
> Ânus.
- Glândulas anexas:
> Fígado;
> Pâncreas;
> Glândulas salivares.
Função: Retirar dos alimentos digeridos os metabólicos necessários para o desenvolvimento e a manutenção do organismo.
Cavidade Oral
- Lábios:
- Superfície externa:
- Pele com folículos pilosos;
- Glândula sebácea e sudorípara;
- Parte vermelha: transição entre pele e mucosa;
- Recoberto por uma camada de células mortas, semelhantes às da pele;
- As papilas conjuntivas da derme subjacente são numerosas, altas e vasculares, dando coloração avermelhada;
- Como o epitélio não está intensamente queratinizado, nem com sebo, deve se umedecido pela língua.
- Superfície interna:
- Epitélio pavimentoso estratificado, não queratinizado (há alguns grânulos de querato-hialina);
- Tecido muscular estratificado esquelético (músculo orbicular dos lábios);
- Tecido conjuntivo fibroelástico (papilas da lâmina própria latas);

http://histologiaufrn.blogspot.com.br/search/label/N%C2%BA%2011%20-%20Sistema%20Digest%C3%B3rio%3A. 
http://histologiaufrn.blogspot.com.br/search/label/N%C2%BA%2011%20-%20Sistema%20Digest%C3%B3rio%3A. 
http://histologiaufrn.blogspot.com.br/search/label/N%C2%BA%2011%20-%20Sistema%20Digest%C3%B3rio%3A.

http://histologiaufrn.blogspot.com.br/search/label/N%C2%BA%2011%20-%20Sistema%20Digest%C3%B3rio%3A.

http://histologiaufrn.blogspot.com.br/search/label/N%C2%BA%2011%20-%20Sistema%20Digest%C3%B3rio%3A.

http://histologiaufrn.blogspot.com.br/search/label/N%C2%BA%2011%20-%20Sistema%20Digest%C3%B3rio%3A. 
http://histologiaufrn.blogspot.com.br/search/label/N%C2%BA%2011%20-%20Sistema%20Digest%C3%B3rio%3A. 
http://histologiaufrn.blogspot.com.br/search/label/N%C2%BA%2011%20-%20Sistema%20Digest%C3%B3rio%3A.
- Bochechas:
- Epitélio pavimentoso estratificado não queratinizado;
- Lâmina própria de tecido conjuntivo fibroelástico denso que se funde com a submucosa, rica em fibras elásticas achatadas e muitos vasos sangüíneos;
- Feixes fibroelásticos fixam a membrana mucosa ao músculo adjacente (permite formar inúmeras dobras quando aboca está fechada);
- Pequenas glândulas mucosas (algumas meia lua).
- Língua:
- Face dorsal:
- Parte oral (corpo):
- Superfície irregular (papilas linguais) – são elevações do epitélio oral mais lâmina própria);
- Tipos de papilas:
- Filiforme;
- Fungiforme;
- Valadas.
- Parte faríngea (raiz):
- Amígdala lingual;
- Glândulas mucosas adjacentes.
- Face ventral:
- Mucosa lisa.

http://histologiaufrn.blogspot.com.br/search/label/N%C2%BA%2011%20-%20Sistema%20Digest%C3%B3rio%3A.

http://histologiaufrn.blogspot.com.br/search/label/N%C2%BA%2011%20-%20Sistema%20Digest%C3%B3rio%3A.

http://histologiaufrn.blogspot.com.br/search/label/N%C2%BA%2011%20-%20Sistema%20Digest%C3%B3rio%3A.

http://histologiaufrn.blogspot.com.br/search/label/N%C2%BA%2011%20-%20Sistema%20Digest%C3%B3rio%3A.

http://histologiaufrn.blogspot.com.br/search/label/N%C2%BA%2011%20-%20Sistema%20Digest%C3%B3rio%3A.

http://histologiaufrn.blogspot.com.br/search/label/N%C2%BA%2011%20-%20Sistema%20Digest%C3%B3rio%3A.
- Dente:
- Porções:
- Coroa: porção que se projeta além da gengiva;
- Raiz.
- Os dentes se articulam nos ossos em cavidades chamadas alvéolos;
- São derivados da membrana mucosa oral:
- Dentina:
- Forma o corpo (tecido conjuntivo calcificado);
- Semelhante ao osso, porém mais duro;
- Não possui células, somente prolongamentos dos odontoblastos;
- Esmalte:
- Camada epitelial calcificada
- Estrutura mais rica em cálcio do corpo.
- Polpa:
- Tecido conjuntivo frouxo;
- Predominam odontoblastos de forma estrelada.
- Perionto:
- Cemento:
- Bainha de tecido conjuntivo calcificado;
- Mantém o tamanho da raiz e garante a fixação do dente;
- Sua produção na raiz é contínua para compensar o desgaste da coroa.
- Ligamento periodontal:
- Tecido conjuntivo
- Osso alveolar ou lâmina dura.
- Palato Duro:
- Lamina própria contínua com o periósteo;
- Glândula mucosa
- Mistura e deglutição dos alimentos.
- Palato Mole:
- Músculo estriado esquelético e glândulas mucosas na submucosa;
- Na deglutição oclui a nasofaringe.
- Gengiva:
- Não tem submucosa;
- Gengiva inserida (epitélio queratinizado);
- Gengiva marginal (vertente livre (queratinizada) e vertente dentária (não queratinizada)).
Faringe
É uma dependência da cavidade bucal comum aos aparelhos digestório e respiratório (orofaringe e nasofaringe). Formada pela lamina própria fibroelástica com grupos de glândulas mucosas.
Estrutura geral do tubo digestivo
- Túnica Mucosa:
- Camada epitelial de revestimento;
- Lamina própria ou córion (tec. conj. Frouxo), vasos sanguíneos e linfáticos, podendo apresentar glândulas e tecido linfóides);
- Muscular da mucosa (camada delgada de tec. musc. Liso).
- Túnica Submucosa:
- Tec. conj. Moderadamente frouxo rico em vasos sanguíneos e linfáticos;
- Contém plexo nervoso submocosa ou de Meissner;
- Pode apresentar glândulas e tecido linfóide.
- Túnica Muscular:
- Duas subcamadas de fibras musculares lisas, orientadas em hélice (interna (circular) e externa (longitudinal));
- Plexo mioentérico ou de Amerbach.
- Túnica Adventícia ou Serosa:
- Tecido conjuntivo frouxo com grande quantidade de nervos sanguíneos e linfáticos, e células adiposas;
- Mesotélio (sob a forma de um epitélio simples pavimentoso).
- Principais funções do revestimento epitelial (túnica mucosa):
- Promover uma barreira semipermeável entre o conteúdo do tubo digestivo e o meio interno;
- Sintetizar e secretar enzima para a digestão dos alimentos;
- Promover a absorção dos produtos desta digestão;
- Secretar hormônios para a coordenação destas atividades;
- Produzir muco para lubrificação e proteção.
Esôfago
- Função:
- Transportar rapidamente o alimento da boca para o estomago.
- Constituição:
- Epitélio pavimentoso estratificado não queratinizado;
- Glândulas cárdicas esofágicas (mucosas) – na mucosa próxima ao esôfago;
- Glândulas esofágicas (mucosas) – na submucosa;
- Túnica muscular
- terço superior – músculo estriado esquelético;
- terço médio – músculo estriado esquelético e músculo liso;
Estômago
- Epitélio cilíndrico simples muco secretor;
- Fossetas ou fovéolas ou criptas gástricas – são invaginações do epitélio de revestimento para dentro da lâmina própria;
- Junções oclusivas – agem como barreira contra o líquido do ácido do estômago (suco gástrico).
- Áreas com estruturas histológicas diferentes:
- Cárdica:
- Fossetas curtas;
- Glândulas longas;
- Glândulas tubulares ramificadas ou não, com porção final frequentemente enovelada – glândula cárdica.
- Fúndica:
- Glândulas tubulosas ramificadas – glândula gástrica ou fúndicas.
- Pilórica:
- Fossetas longas;
- Glândulas curtas;
- Glândulas tubulosas simples ou ramificadas – glândula cárdica.
- Tipos celulares da glândula fúndica:
- Célula fonte ou “stem cells” – células em constante divisão, fornecendo as demais;
- Célula parietais ou oxínticas – HCL; fator antianêmico intrínseco (glicoproteína);
- Célula mucosa do colo – muco;
- Célula zimogênicas ou principais – pepsina; lípase;
- Clula enteroendócrina ou cromafins – hormônios; polipeptícas.
- Túnica muscular:
- Interna: oblíqua;
- Média: circular;
Intestino delgado
- correm os processos finais da digestão dos alimentos e seus produtos são absorvidos;
- Duodeno:
- Glândulas de Brünner ou duodenais na submucosa:
- Secreta glicoproteína neutra com pH entre 8,2 a 9,3 (admite-se que proteja a mucosa intestinal contra a acidez do suco gástrico);
- Tambem é responsável pelo pH ideal para a ação das enzimas pancreáticas;
- Placas de Peyer – agregados de nódulos linfáticos na submucosa do íleo.
- Tipos celulares do epitélio da mucosa intestinal:
- Células primáticas absorvativas;
- Células caliciformes – muco;
- Células de Paneth – grânulos com lizoenzima (atividade antibacteriana e colabora na regulação da flora intestinal);
- Células enteroendócrinas;
- Células M (íleo) – importante sistema imunitário.
![]() |
| Adicionar legendahttp://histologiaufrn.blogspot.com.br/search/label/N%C2%BA%2012%20-%20Sistema%20Digest%C3%B3rio%20-%20Gl%C3%A2ndulas%20Anexas%3A. |
![]() |
| http://histologiaufrn.blogspot.com.br/search/label/N%C2%BA%2012%20-%20Sistema%20Digest%C3%B3rio%20-%20Gl%C3%A2ndulas%20Anexas%3A. |
![]() |
| http://histologiaufrn.blogspot.com.br/search/label/N%C2%BA%2012%20-%20Sistema%20Digest%C3%B3rio%20-%20Gl%C3%A2ndulas%20Anexas%3A. |
![]() |
| http://histologiaufrn.blogspot.com.br/search/label/N%C2%BA%2012%20-%20Sistema%20Digest%C3%B3rio%20-%20Gl%C3%A2ndulas%20Anexas%3A |
Intestino Grosso
- Mucosa lisa, sem pregas (exceto na porção retal;
- Não há vilosidades;
- Glândulas de Lieberlsiihn não longas;
- Grande quantidade de células caliciformes;
- Pequena quantidade de células enteroendócrinas;
- Não há células de Paneth;
- Camada muscular longitudinal externa é bem mais desenvolvida que no intestino delgado devido as fibras se congregarem em três faixas espessas chamadas tênias do colo;
- A serosa é caracterizada por pequenos apêndices pedunculados formados por tecido adiposo – apêndices epiplóicos.

Intestino Grosso
http://histologiaufrn.blogspot.com.br/search/label/N%C2%BA%2012%20-%20Sistema%20Digest%C3%B3rio%20-%20Gl%C3%A2ndulas%20Anexas%3A.
Apêndice
- É uma evaginação do ceco, em fundo de saco;
- Características:
- Lúmen estreito e irregular devido à presenção de grande quantidade de nódulos linfáticos na sua parede;
- A sua estrutura geral é semelhante á do intestino grosso, apenas existindo:
- o menor número de glândulas intestinais e as existentes são mais curtas;
- o fibras da camada muscular não formam tênias.
As glândulas salivares
- A presença de alimento na boca, assim como sua visão e cheiro, estimulam as glândulas salivares a secretar saliva, que contém a enzima amilase salivar ou ptialina, além de sais e outras substâncias. A amilase salivar digere o amido e outros polissacarídeos (como o glicogênio), reduzindo-os em moléculas de maltose (dissacarídeo). A saliva, além de dar início à digestão do amido, amolece o alimento, facilita a deglutição e a fala, forma uma barreira imunológica e lubrifica a cavidade oral.
- As glândulas salivares são exócrinas, com porção secretora acinosa e tubulosa e ducto ramificado (composta). Existem as glândulas salivares pequenas na língua e na mucosa da cavidade oral e três tipos de glândulas salivares grandes, estruturas separadas e encapsuladas por tec. conjuntivo que lançam sua secreção na cavidade bucal:
- Glândula parótida - Com massa variando entre 14 e 28 g, é a maior das três; situa-se na parte lateral da face, abaixo e adiante do pavilhão da orelha. Glândula composta acinosa, exclusivamente serosa.
- Glândula submandibular - É arredondada, mais ou menos do tamanho de uma noz. Glândula composta túbulo-acinosa com predominâncias de ácinos serosos.
- Glândula sublingual - É a menor das três; fica abaixo da mucosa do soalho da boca. Glândula composta túbulo-acinosa, predominantemente mucosa, com meia lua serosa.
- Existem 3 tipos de ductos:
- Ducto intercalar - Um epitélio simples cúbico.
- Ducto estriado - Espitélio simples cilíndrico com estriações na base das células (dobras da membrana).
- Ducto interlobular ou excretor - Luz maior, epitélio estratificado cúbico, cilíndrico e, mais perto da cavidade oral, pavimentoso.
Fígado
- É o maior órgão interno (a pele é o maior geral). É a mais volumosa de todas as vísceras. Tem cor arroxeada, superfície lisa e recoberta por uma cápsula própria de tec. conjuntivo.
- As células hepáticas (hepatócitos) ajudam o sangue a assimilar as substâncias nutritivas e a excretar os materiais residuais e as toxinas, bem como esteróides, estrógenos e outros hormônios. O fígado é um órgão muito versátil. Armazena glicogênio, ferro, cobre e vitaminas. Produz carboidratos a partir de lipídios ou de proteínas, e lipídios a partir de carboidratos ou de proteínas. Sintetiza também o colesterol, a bile, e purifica muitos fármacos e muitas outras substâncias.
- Lóbulo Hepático:
- No centro, encontra-se a veia centro-lobular;
- Radialmente, os cordões de hepatócitos (dobras na membrana, maior área de contato);
- Entre os cordões, capilares sinusóides (células endoteliais).
- Espaço Porta:
- Tecido conjuntivo frouxo;
- Ramo da veia porta;
- Ramo da artéria hepática;
- Ducto biliar.
![]() |
| http://histologiaufrn.blogspot.com.br/search/label/N%C2%BA%2012%20-%20Sistema%20Digest%C3%B3rio%20-%20Gl%C3%A2ndulas%20Anexas%3A. |
![]() |
| http://histologiaufrn.blogspot.com.br/search/label/N%C2%BA%2012%20-%20Sistema%20Digest%C3%B3rio%20-%20Gl%C3%A2ndulas%20Anexas%3A. |
![]() |
| http://histologiaufrn.blogspot.com.br/search/label/N%C2%BA%2012%20-%20Sistema%20Digest%C3%B3rio%20-%20Gl%C3%A2ndulas%20Anexas%3A. |
![]() |
| http://histologiaufrn.blogspot.com.br/search/label/N%C2%BA%2012%20-%20Sistema%20Digest%C3%B3rio%20-%20Gl%C3%A2ndulas%20Anexas%3A. |
![]() |
| http://histologiaufrn.blogspot.com.br/search/label/N%C2%BA%2012%20-%20Sistema%20Digest%C3%B3rio%20-%20Gl%C3%A2ndulas%20Anexas%3A. |
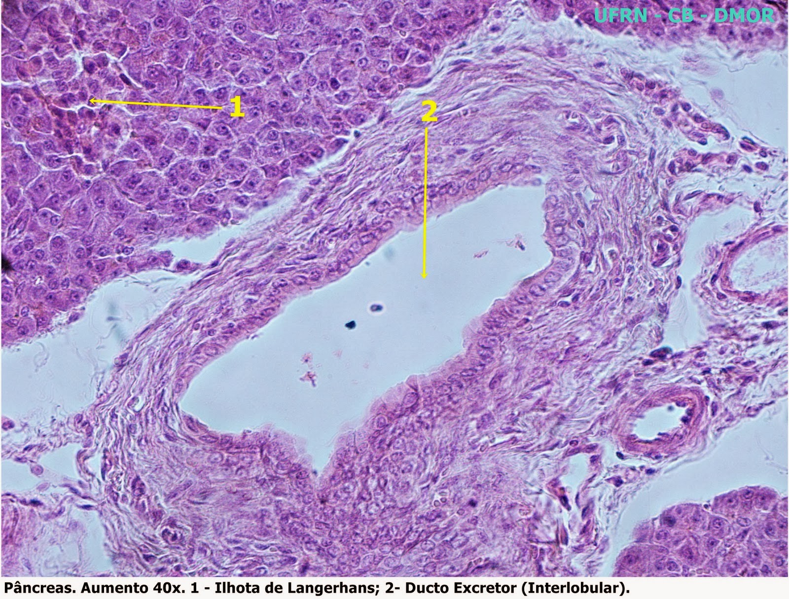
Pâncreas
- O pâncreas é uma glândula mista, de mais ou menos 15 cm de comprimento e de formato triangular, localizada transversalmente sobre a parede posterior do abdome, na alça formada pelo duodeno, sob o estômago.
- O Pâncreas é uma glândula composta acinosa, exclusivamente serosa. Nota-se também a ausência de ducto estriado, contando com a presença apenas dos ductos intercalar e excretor. O Ducto intercalar adentra os ácinos, podendo ser notada células mais claras dentro destes.
- O pâncreas exócrino produz enzimas digestivas, em estruturas reunidas denominadas ácinos. Os ácinos pancreáticos estão ligados através de finos condutos, por onde sua secreção é levada até um condutor maior, que desemboca no duodeno, durante a digestão.
- O pâncreas endócrino secreta os hormônios insulina e glucagon. Ele se encontra dentro da parte exócrina, formando ilhotas.

http://histologiaufrn.blogspot.com.br/search/label/N%C2%BA%2012%20-%20Sistema%20Digest%C3%B3rio%20-%20Gl%C3%A2ndulas%20Anexas%3A.

http://histologiaufrn.blogspot.com.br/search/label/N%C2%BA%2012%20-%20Sistema%20Digest%C3%B3rio%20-%20Gl%C3%A2ndulas%20Anexas%3A.

http://histologiaufrn.blogspot.com.br/search/label/N%C2%BA%2012%20-%20Sistema%20Digest%C3%B3rio%20-%20Gl%C3%A2ndulas%20Anexas%3A.
Referência Bibliográfica:
JUNQUEIRA L. C.; CARNEIRO, J. Histologia Básica. 10ª ed. Rio de Janeiro, Guanabara Koogan, 2004.














